Augmentation
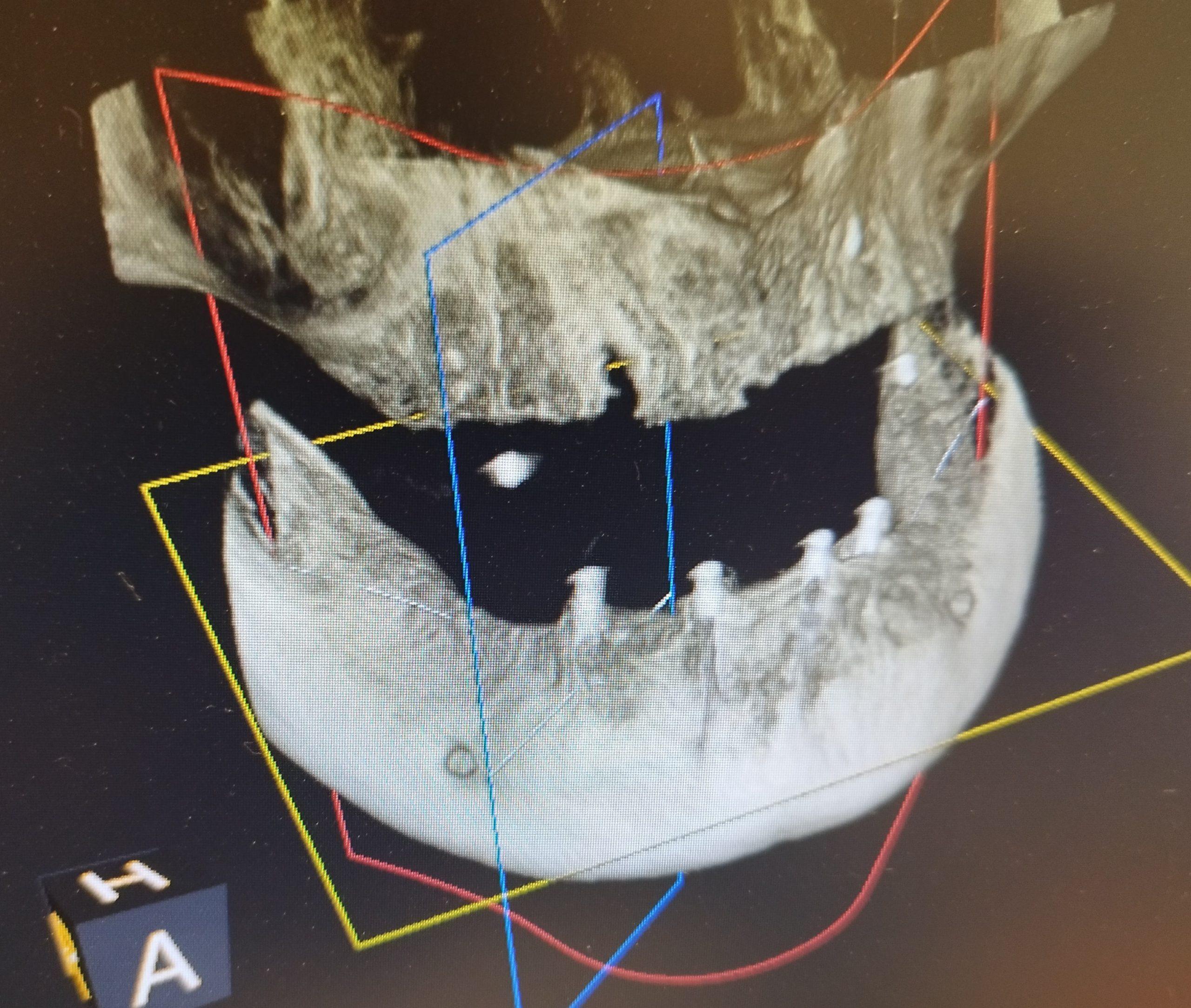
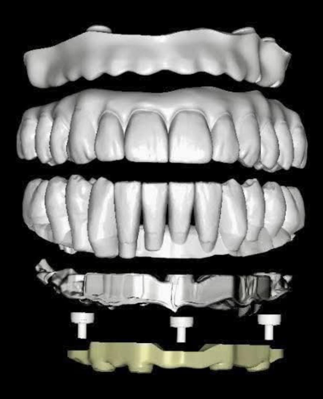
Die Navigation kann auch dabei helfen festzustellen, ob Implantatprothetik gemäß den berufsständischen Richtlinien überhaupt möglich ist und ob die dreidimensionale Position bzw. das Verhältnis des Zahnimplantats zur geplanten Prothese angemessen ist. Das moderne Konzept der Augmentation basiert auf der retrospektiven Planung und prothetischen Kontrolle mithilfe bildgebender Diagnostik.
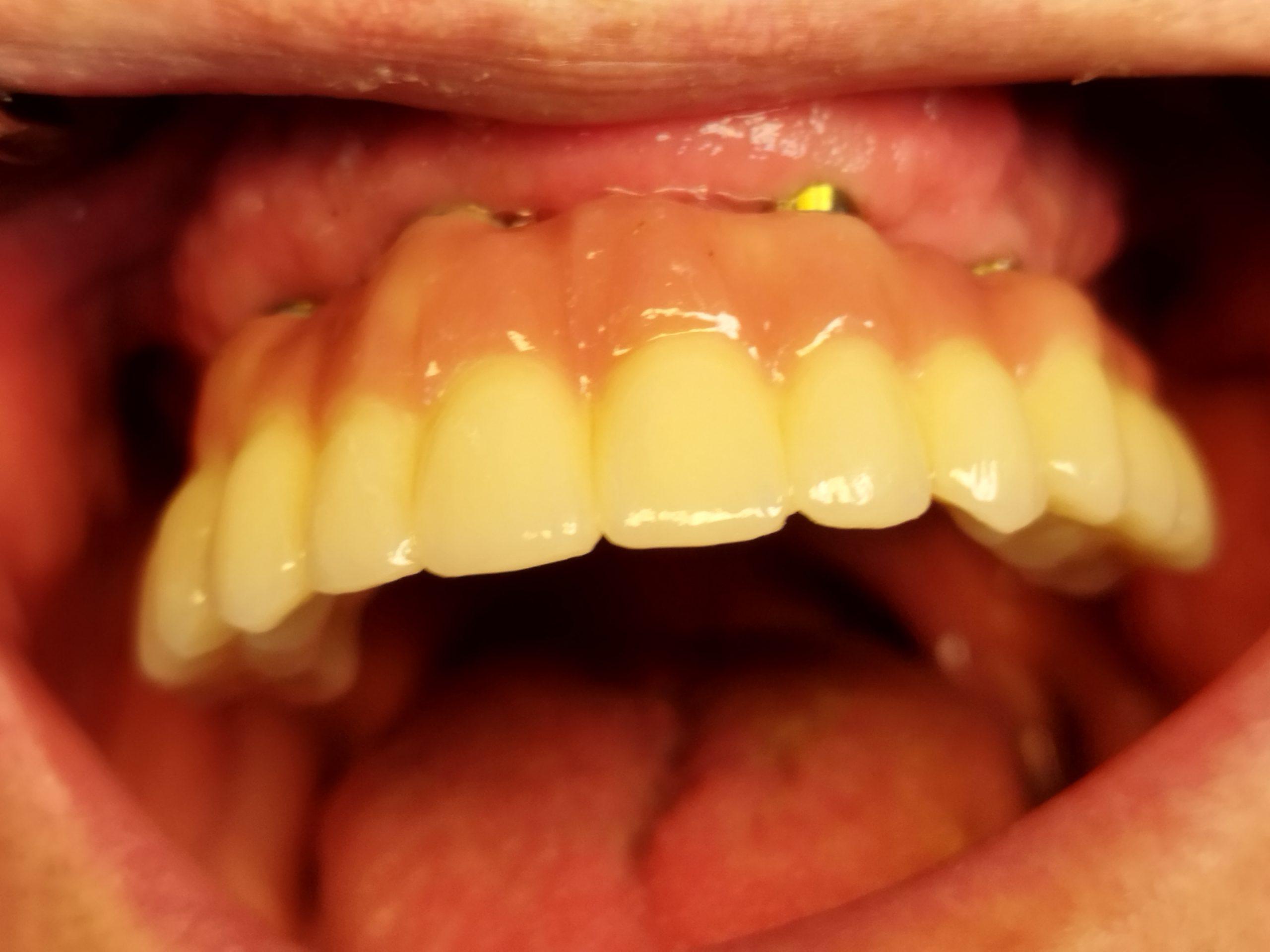
Fallstudie – Sofortimplantation + Knochentransplantation mit Titanmesh
Fallstudie – Augmentation, Sinuslift